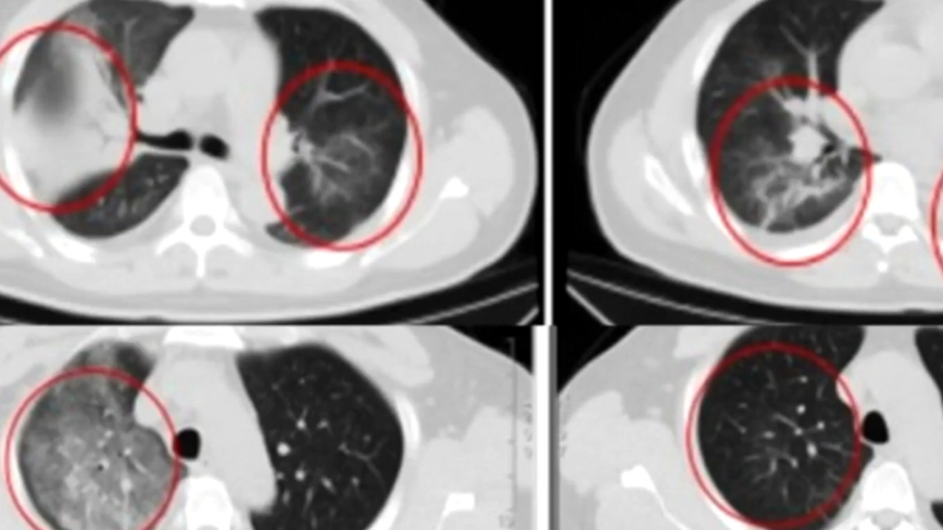
【新!唐!人:北京时间2025年01月09日讯】江苏省一名顾姓男子,近日从非洲返回后,出现发烧、咳嗽、乏力以及肌肉酸痛等症状,患者就诊时。
双肺已经出现大面积病变,就医后确诊是罕见的人畜共通传染病“Q热”,消息登上热搜,引起多方关注。
不少中国网友相当惊慌,想起COVID-19中共极端封控的情况。
近几个月来,多种病毒已经在中国蔓延,包括:流感、人偏肺病毒等,引发世卫组织和周边国家高度警觉。
本文网址: https://dh2tmtasvwkqg.cloudfront.net/gb/2025/01/08/a103946316.html




























